logo

Free initial Consultation

Personal, Cosmetic


Payment Options

Registration Forms
Youth
Adult
Insurance Form

Email me:
nilesknight1@charter.net



•University of Illinois
•Marquette University
•U.C.L.A.

 
home button
meet the dr. button
office button
morph button

AAO Logo

C
opyright© 2007 Dr. Niles Knight Bakke, D.D.S., M.S.

 


Clarity™ Ceramic Braces

Traditional Stainless Steel
Multi- colored elastics

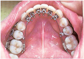
Invisible Lingual Braces